Câncer da próstata: uma análise interobservador
Palavras-chave:
Neoplasias Prostáticas, variações dependentes do observador,Resumo
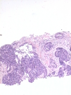
Resumo A graduação de Gleason é amplamente utilizada na avaliação histopatológica dos carcinomas prostáticos por ter boa reprodução intra e interobservadores. O grau de concordância interobservadores na utilização desta graduação entre uropatologistas, patologistas gerais e médicos residentes em patologia, foi avaliado neste estudo em âmbito nacional. Foram selecionadas randomicamente lâminas de biópsia de próstata guiada por agulha de 30 pacientes com diagnóstico de adenocarcinoma confirmado por análise da peça cirúrgica e pesquisa imunohistoquímica de citoqueratina de alto peso molecular, no Cito Laboratório de Citopatologia Ltda, no período de junho de 1998 e julho de 1999. Cada lâmina foi fotografada em três aumentos: 40, 100 e 200x. As fotos dos 30 casos foram disponibilizadas, na página do Depto de Patologia da Faculdade de Medicina da Universidade Federal de Juiz de Fora (www.patologia.ufjf.br), junto de carta convite e questionário demográfico, endereçados aos patologistas que acessam o site do PATOCTO, para graduação on-line das biópsias. Os resultados das graduações foram alocados em gráficos de acordo com a distribuição dos percentuais de acerto e cruzamento com os dados demográficos. Foi considerado “verdadeiro” diagnóstico aquele onde a graduação de Gleason obteve maior percentual de consenso. O grau de concordância média global de acerto entre os participantes foi de 65,20% e 79,68% o grau máximo de concordância no escore considerado verdadeiro diagnóstico. Este índice de reprodutibilidade com escore idêntico considerando-se a variação de + ou – 1 no escore considerado o “verdadeiro” diagnóstico, passou a 85%, o que é consistente com os trabalhos realizados pelo próprio Gleason, idealizador da graduação e outros citados na literatura. A presente experiência revela-se importante ferramenta instrucional on-line, podendo ser utilizada em programas de educação continuada. Palavras chave: Neoplasias Prostáticas; variações dependentes do observador; biópsia por agulha; InternetDownloads
Downloads
Arquivos adicionais
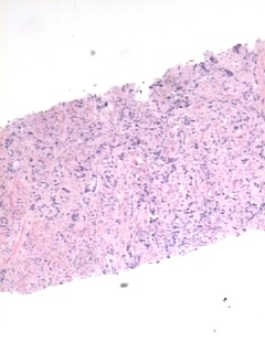
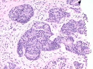
- Figure 1 a- Gleason 3 - Caso 18 HE-40x.JPG
- Figure 1 b- Gleason 3 - Caso 18 HE-100x.JPG
- Figure 1 c- Gleason 3 - Caso 18 HE-200x.JPG
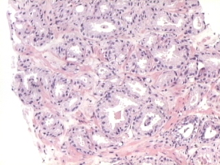
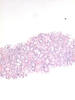
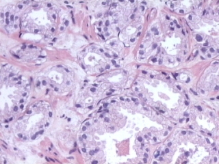
- Figure 2 a- Gleason 4 - Caso 20 HE-40x.JPG
- Figure 2 b- Gleason 4 - Caso 20 HE-100x.JPG
- Figure 2 c- Gleason 4 - Caso 20 HE-200x.JPG
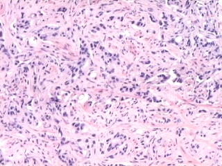
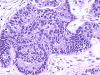
- Figure 3 a- Gleason 5 - Caso 29 HE- 40x.JPG
- Figure 3 b- Gleason 5- Caso 29 HE-100x.JPGSem título
- Figure 3 c- Gleason 5 - Caso 29 HE-200x.JPG
- Figuras (Português).doc
- Folha de Rosto
- Declaração de ausência de conflito de interesses
- Declaração de financiamento
Publicado
Como Citar
Edição
Seção
Licença
Cessão de Primeira Publicação à HU Revista
Os autores mantém todos os direitos autorais sobre a publicação, sem restrições, e concedem à HU Revista o direito de primeira publicação, com o trabalho licenciado sob a Licença Creative Commons Attribution que permite o compartilhamento irrestrito do trabalho, com reconhecimento da autoria e crédito pela citação de publicação inicial nesta revista, referenciando inclusive seu DOI.




