Carcinoid tumor in carina secondary
Keywords:
Tumor Carcinóide, Tumores neuroendócrinos, Diagnóstico, Patologia, CirurgiaAbstract
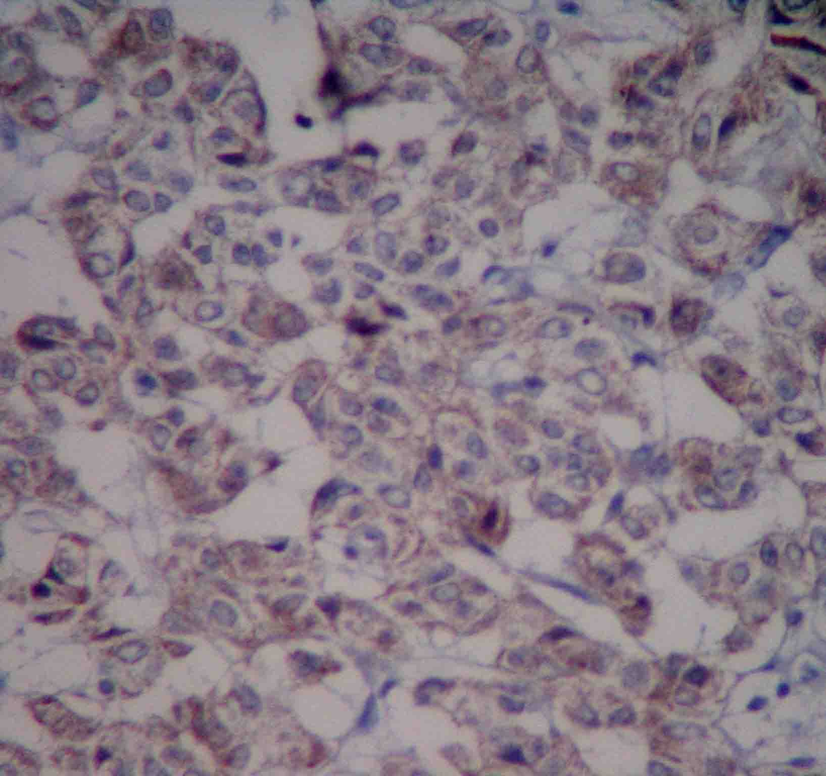
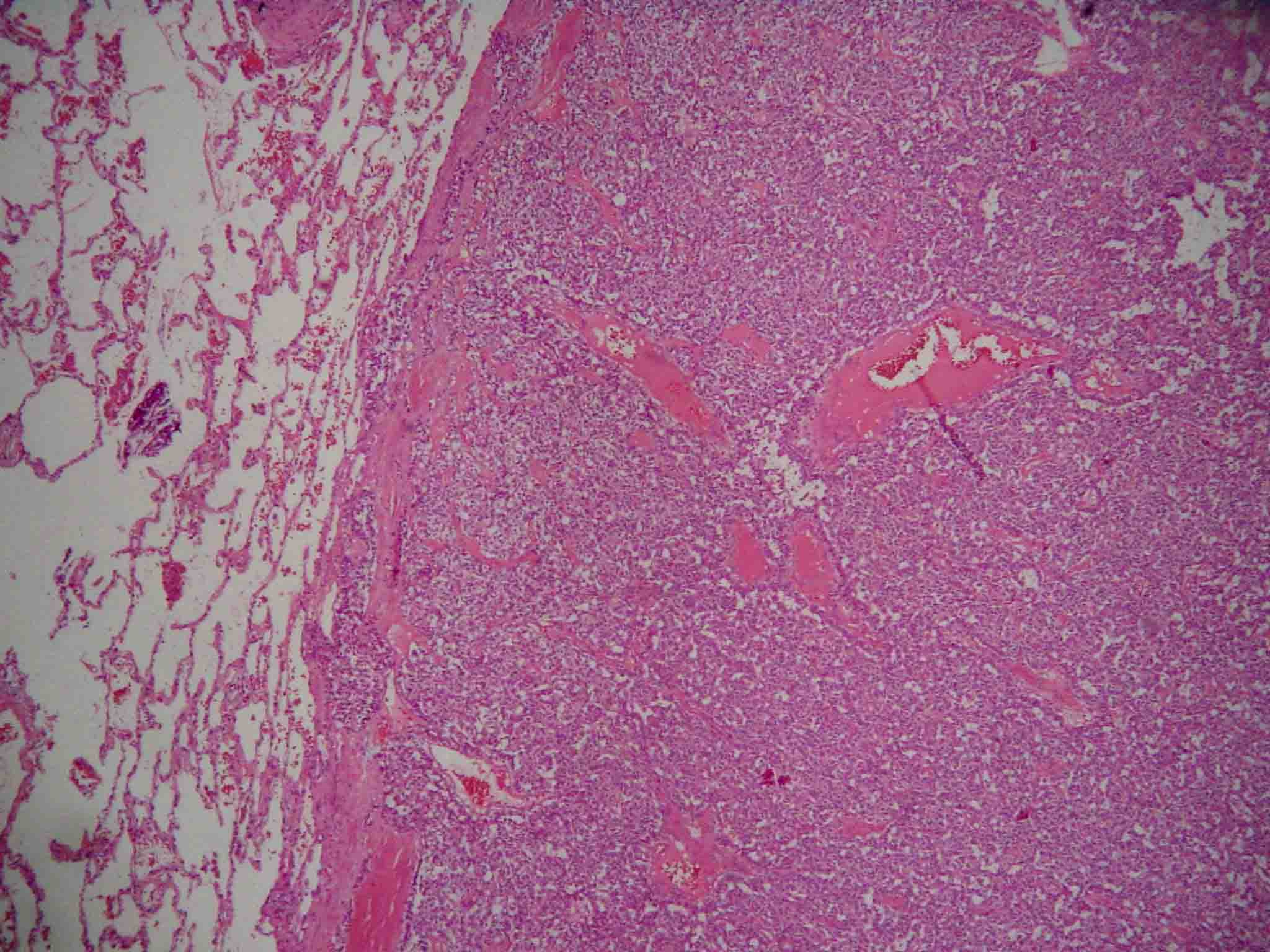
Carcinoid tumor is a serotonin-producing malignant tumor belonging to a class of neoplasms known as the neuroendocrine tumors. Carcinoid tumors of the lung are much less common and represent 1% to 2% of all lung cancers. The current classification of lung tumors recognizes bronchial typical carcinoid as low-grade neuroendocrine tumors. Symptoms are usually related to local compression and obstruction of the bronchial tree. Preoperative diagnosis is usually obtained without bronchoscopic biopsy. The authors report the case of a woman with typical carcinoid tumor in the left lower lobar bronchus, next to the secondary carina. It was treated with bronchoplastic resection, and associated to lymphadenectomy. The complete surgical resection remains the only therapy with curative intent in the majority of patients. Local relapse can be treated successfully with surgery, whereas distant metastases have a poor prognosis even after chemotherapy.Downloads
Downloads
Additional Files
- Fotos - tumor carcinóide (Português (Brasil))
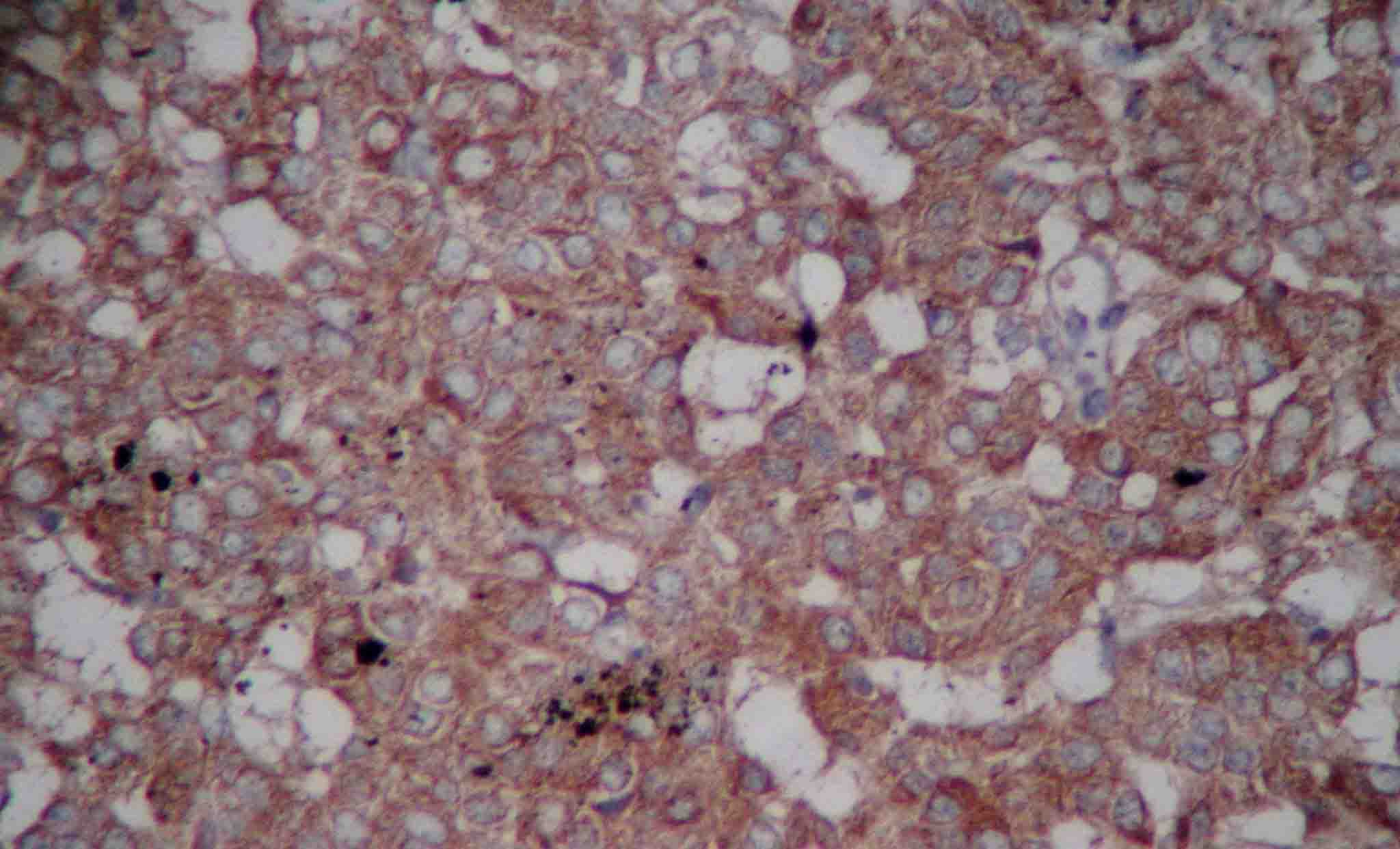
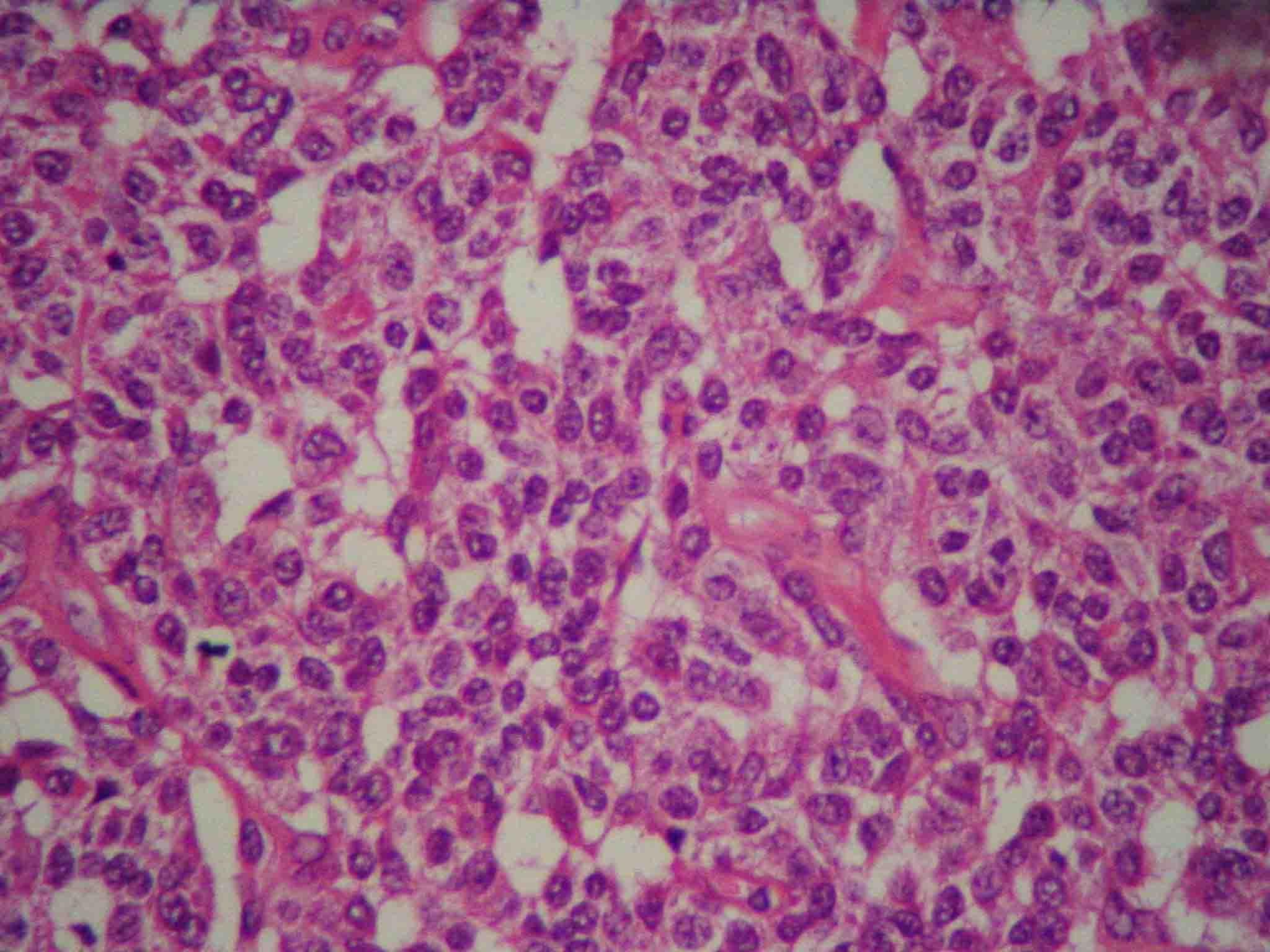
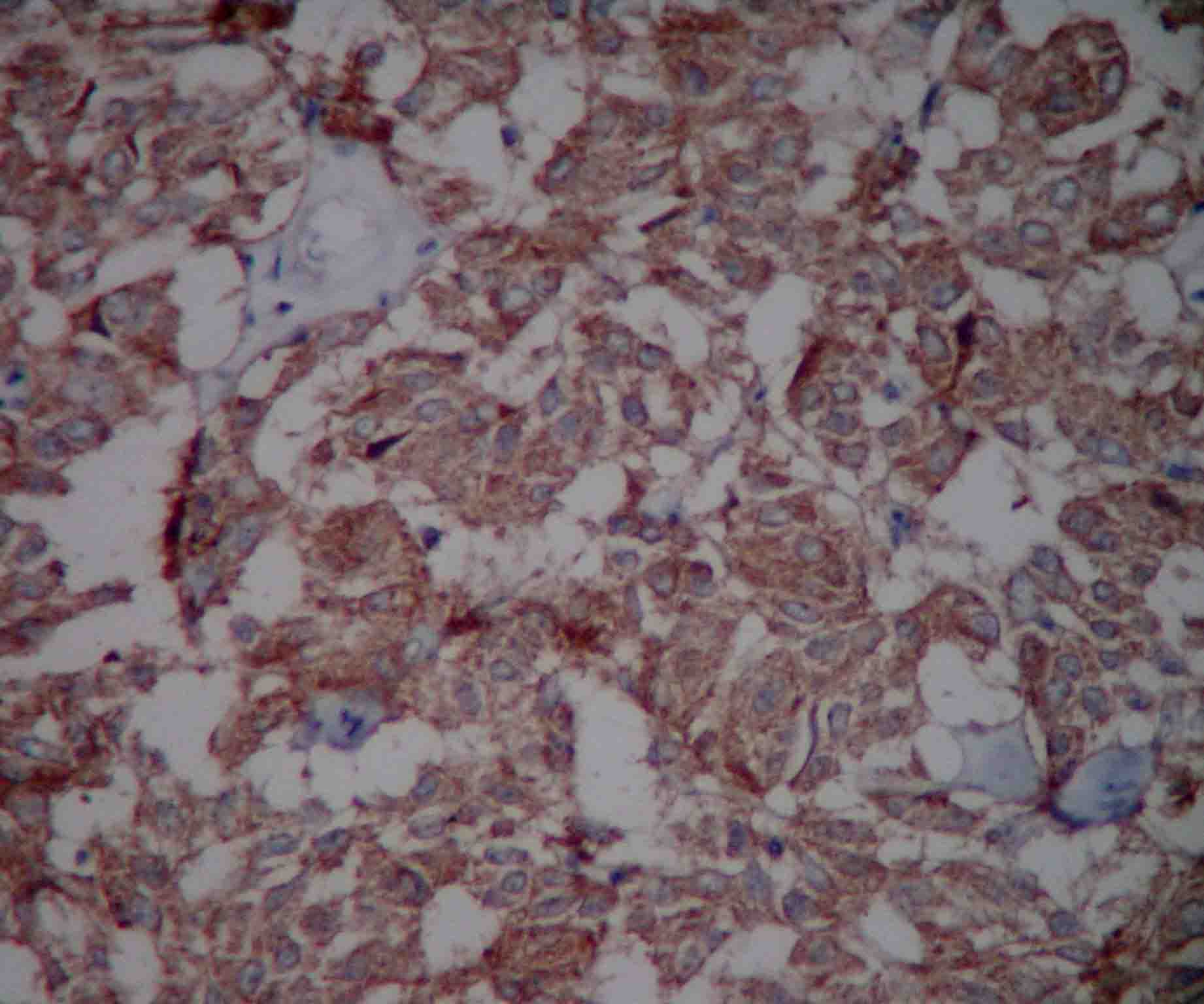
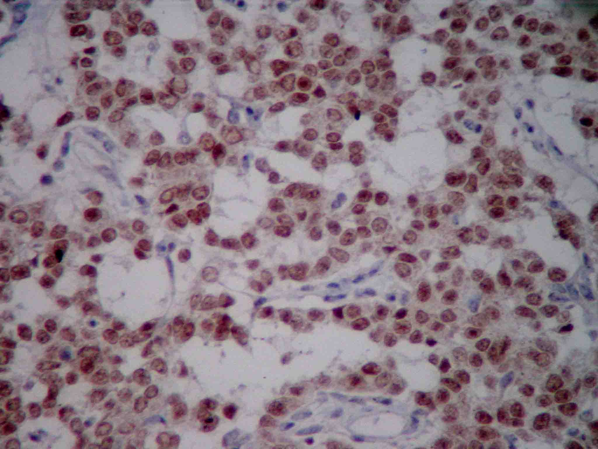
- cromogranina.jpg (Português (Brasil))
- HE.jpg (Português (Brasil))
- he1.jpg (Português (Brasil))
- Hematoxilina e Eosina.jpg (Português (Brasil))
- pancitoqueratina.jpg (Português (Brasil))
- Sinaptofisina.jpg (Português (Brasil))
- ttf1.jpg (Português (Brasil))
- Folha de rosto (Português (Brasil))
Published
How to Cite
Issue
Section
License
Cessão de Primeira Publicação à HU Revista
Os autores mantém todos os direitos autorais sobre a publicação, sem restrições, e concedem à HU Revista o direito de primeira publicação, com o trabalho licenciado sob a Licença Creative Commons Attribution que permite o compartilhamento irrestrito do trabalho, com reconhecimento da autoria e crédito pela citação de publicação inicial nesta revista, referenciando inclusive seu DOI.




