Tumor Desmóide de Parede TorácicaA
Palavras-chave:
Ciências da Saude, Saude HumanaResumo
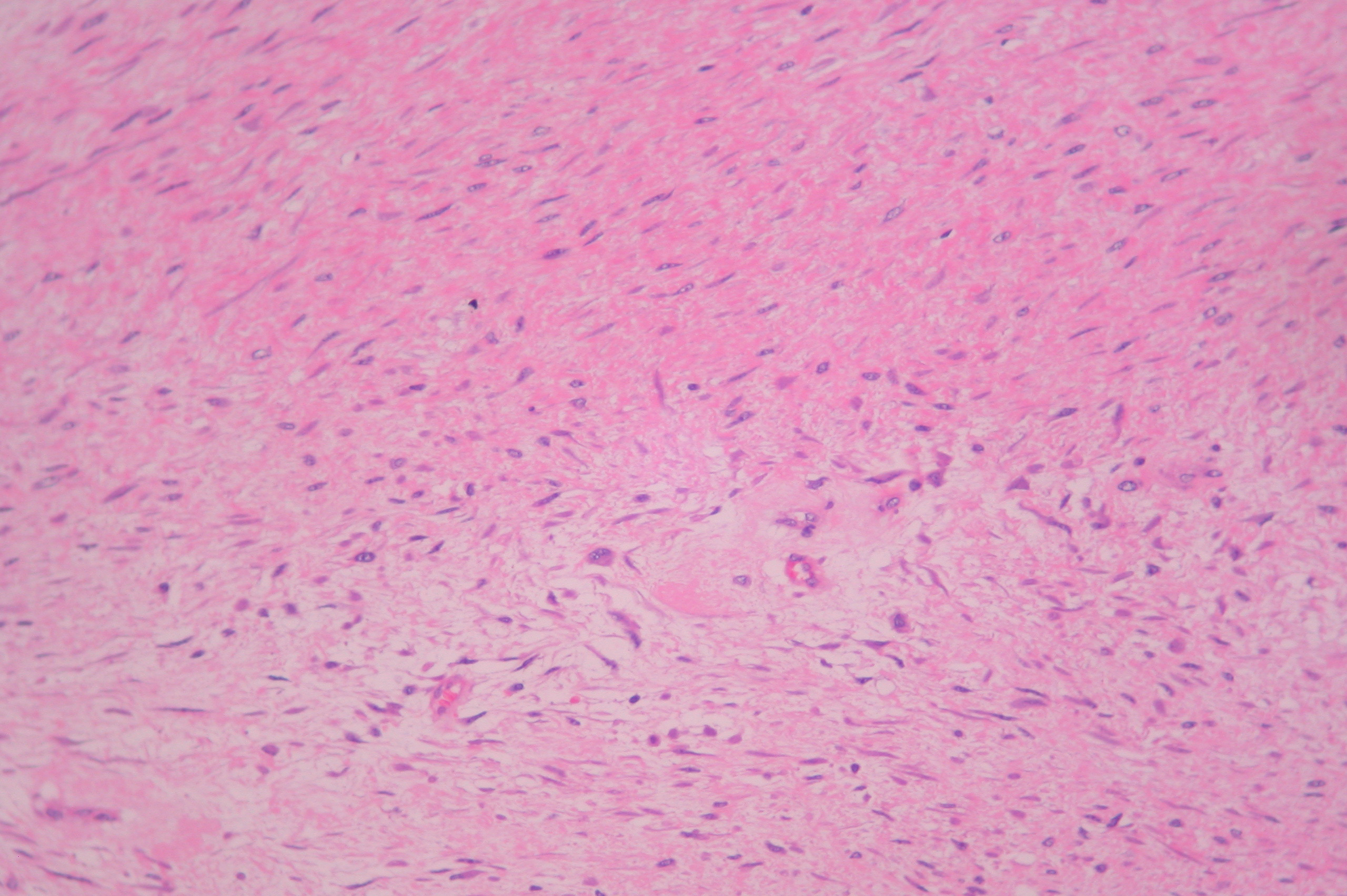
Abstract: Desmoid tumor (DT) or aggressive fibromatosis is a rare type of soft tissue neoplastic disorder that does not metastasize, but is highly infiltrative of adjacent muscle and aponeurosis. Treatment must be aggressive, and consists mainly of surgical resection with free margins, although radiotherapy, non-steroidal anti-inflammatory drugs, hormones and chemotherapy may be used. Local relapse rate after primary treatment is high. We report a patient who had a relapse of DT on the dorsum, and who underwent thoracotomy, apophysectomy, osteotomy, biopsy of the left lower lobe of the lung, closed pleural space drainage, immediate reconstruction with rotation of muscle flaps and mesh repair. After surgery, the patient received 23 cycles of radiotherapy associated with tamoxifen (40 mg/day).
Key words: desmoid tumor – chest wall – wide surgical resection
Downloads
Downloads
Arquivos adicionais
Publicado
Como Citar
Edição
Seção
Licença
Cessão de Primeira Publicação à HU Revista
Os autores mantém todos os direitos autorais sobre a publicação, sem restrições, e concedem à HU Revista o direito de primeira publicação, com o trabalho licenciado sob a Licença Creative Commons Attribution que permite o compartilhamento irrestrito do trabalho, com reconhecimento da autoria e crédito pela citação de publicação inicial nesta revista, referenciando inclusive seu DOI.




