Pioderma gangrenoso: relato de caso
Palavras-chave:
Complicações pós-operatórias, Mamoplastia, Pioderma gangrenoso.Resumo
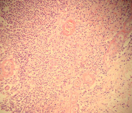
O Pioderma Gangrenoso (PG) é uma dermatose inflamatória neutrofílica rara, de etiologia desconhecida, associada a doenças sistêmicas em 50% dos casos. No presente trabalho, faz-se uma breve revisão sobre este distúrbio, demonstrando as repercussões sobre a Cirurgia Plástica. Relata-se o caso de uma paciente de 40 anos, submetida a mamoplastia redutora e abdominoplastia, com apresentação de lesões típicas de PG nas cicatrizes cirúrgicas no 6º dia pós-operatório e excelente resposta à terapêutica clínica. Discutem-se, ainda, as formas clínicas da doença, as bases diagnósticas e o tratamento atualmente disponível.Downloads
Downloads
Arquivos adicionais
Publicado
Como Citar
Edição
Seção
Licença
Cessão de Primeira Publicação à HU Revista
Os autores mantém todos os direitos autorais sobre a publicação, sem restrições, e concedem à HU Revista o direito de primeira publicação, com o trabalho licenciado sob a Licença Creative Commons Attribution que permite o compartilhamento irrestrito do trabalho, com reconhecimento da autoria e crédito pela citação de publicação inicial nesta revista, referenciando inclusive seu DOI.




