Óleo de linhaça no tratamento do olho seco de paciente com síndrome de Sjögren
Palavras-chave:
Ácidos Graxos Essenciais. Ceratoconjuntivite Seca. Óleo de Semente do Linho. Síndrome de Sjögren.Resumo
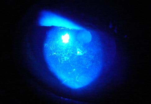
A Síndrome de Sjögren é uma doença auto-imune crônica que se caracteriza por infiltração linfocítica de glândulas salivares e lacrimais, resultando em xerostomia e ressecamento ocular. A utilização dos ácidos graxos essenciais na apresentação oral, como o óleo de linhaça, pode ser uma alternativa no tratamento de pacientes com deficiência lacrimal. Descreve-se o caso de uma paciente, portadora de Síndrome de Sjögren associada à artrite reumatóide, com sinais e sintomas de olho seco. A paciente foi atendida no Ambulatório de Oftalmologia, do Hospital Universitário/CAS, da Universidade Federal de Juiz de Fora. Foi adotada a administração oral de óleo de linhaça, com melhora da sintomatologia. O objetivo do relato do caso é incentivar futuros estudos para melhor esclarecimento sobre o uso do óleo de linhaça no tratamento do olho seco.
Downloads
Downloads
Arquivos adicionais
Publicado
Como Citar
Edição
Seção
Licença
Cessão de Primeira Publicação à HU Revista
Os autores mantém todos os direitos autorais sobre a publicação, sem restrições, e concedem à HU Revista o direito de primeira publicação, com o trabalho licenciado sob a Licença Creative Commons Attribution que permite o compartilhamento irrestrito do trabalho, com reconhecimento da autoria e crédito pela citação de publicação inicial nesta revista, referenciando inclusive seu DOI.




