Hipersensibilidade dentinária: considerações para o sucesso em seu manejo clínico.
Palabras clave:
Ciencias da saudeResumen
A hipersensibilidade dentinária é caracterizada por uma dor aguda, de curta duração, bem localizada, que provém da dentina exposta a partir de estímulos químicos, voláteis, térmicos, tácteis ou osmóticos e que não pode ser atribuída a outra forma de defeito ou patologia dental. Atinge grande parte da população mundial, além disso, o aumento na expectativa de vida dos pacientes sugere uma tendência ao aumento da sua prevalência. Apesar de relatos que remontam o século XVI, do extenso número de estudos sobre este assunto e uma gama de propostas terapêuticas, o tratamento desta enfermidade ainda é considerado desafiador e os estudos frequentemente utilizam palavras como “controle”, “alívio” ou “melhora” do quadro clínico. O objetivo deste trabalho é revisar a literatura a respeito da hipersensibilidade dentinária associada à recessão gengival, na busca de atualidades com vistas a facilitar a escolha da terapia adequada de acordo com cada caso e seu correto manejo clínico.
Descargas
Descargas
Archivos adicionales
- Folha de rostro (Português (Brasil))
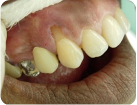
- Figura 1A (Português (Brasil))
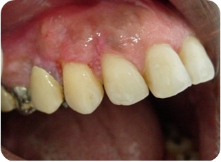
- Figura 1B (Português (Brasil))
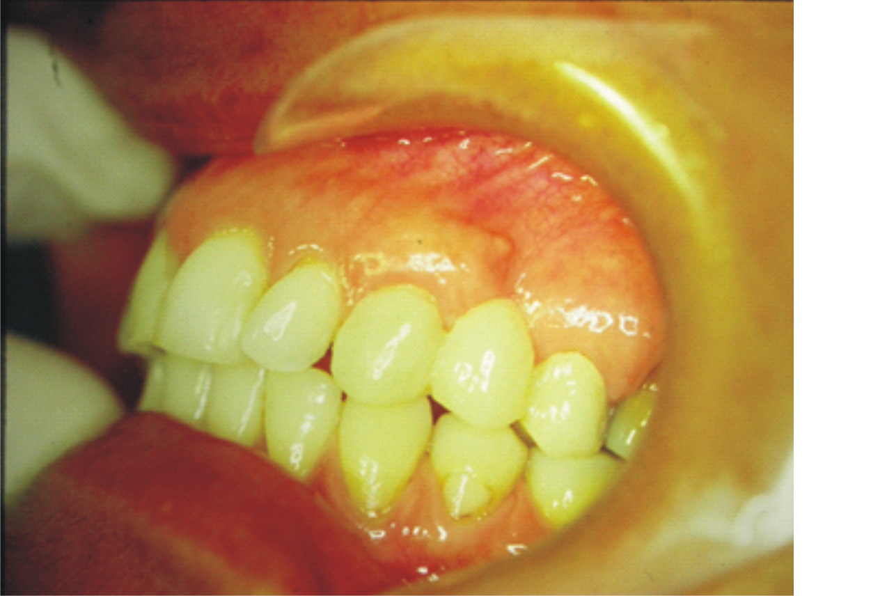
- Figura 1C (Português (Brasil))
- Figura 2 (Português (Brasil))
- Figura 3 (Português (Brasil))
- Figura 4 (Português (Brasil))
- Figura 5 (Português (Brasil))
- Figura 2 (Português (Brasil))
- Figura 3 (Português (Brasil))
- Figura 1 (Português (Brasil))
Publicado
Cómo citar
Número
Sección
Licencia
Cessão de Primeira Publicação à HU Revista
Os autores mantém todos os direitos autorais sobre a publicação, sem restrições, e concedem à HU Revista o direito de primeira publicação, com o trabalho licenciado sob a Licença Creative Commons Attribution que permite o compartilhamento irrestrito do trabalho, com reconhecimento da autoria e crédito pela citação de publicação inicial nesta revista, referenciando inclusive seu DOI.




